
Лига биологов
Ротовая амёба под микроскопом
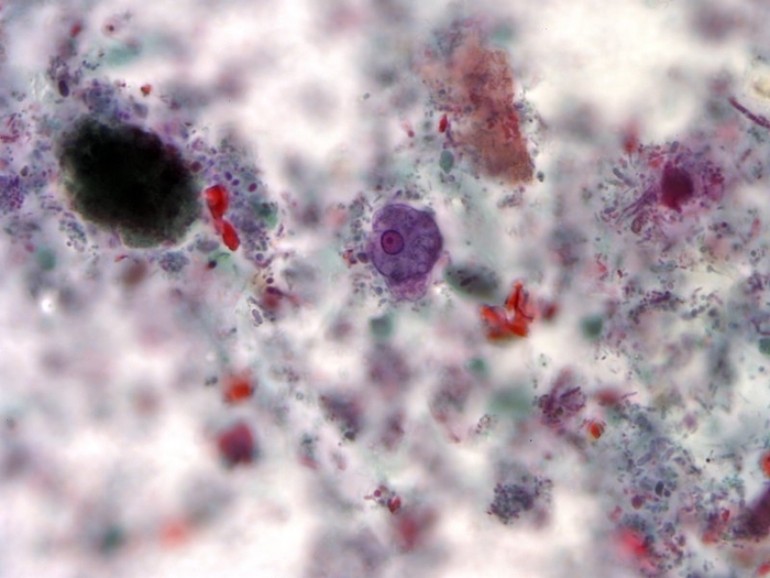
Ротовая амёба (Entamoeba gingivalis) - это крошечный одноклеточный организм, не имеющий постоянной формы тела, который обитает в ротовой полости человека и животных.
Цветная сканирующая электронная микрофотография (СЭМ) амебы Entamoeba gingivalis (голубоватой), проникающей в клетку десны (красная) in vitro. Увеличение: x2400 раз.
Размеры колеблются от 6 до 60 микрометров. Питается бактериями, образующими зубные камни, и клеточным детритом, поэтому в какой-то степени даже полезна, однако при повреждении зубов или десен, может быть причиной воспаления.
Цветная сканирующая электронная микрофотография (СЭМ) амебы Entamoeba gingivalis (голубоватой), проникающей в клетку десны (красная) in vitro. Увеличение: х6000 раз.
Передаётся контактным способом (поцелуи, посуда) или из естественных источников (грязная вода, немытые фрукты и овощи). Встречается у ~25% населения, у людей имеющих заболевания зубов и десен, вероятность составляет от 60% до 100%.
Ротовая амёба. Световой микроскоп
Бонус: Короткий научно-популярный ролик про амёб
Почки под микроскопом
Вопрос от подписчика: Покажите пожалуйста почки под микроскопом.
Ответ биолога: Почки - это парный орган выделительной системы, который выполняет в организме множество функций: поддерживает водно-солевой баланс, фильтрует кровь, регулирует давление, выводит побочные продукты обмена веществ и т.д.
Строение почечного нефрона у человека
Основным структурным и функциональным элементом почки является нефрон. Он состоит из почечного тельца, где происходит фильтрация, и системы канальцев, в которых осуществляются реабсорбция (обратное всасывание воды) и секреция веществ.
Почечный клубочек. Цветная сканирующая электронная микрофотография (СЭМ) среза здоровой ткани почки человека, показывающая клубочек (круглый, в центре). Клубочек представляет собой шарообразную сеть капилляров (крошечных кровеносных сосудов) в нефроне почки. Он помогает в формировании мочи путем фильтрации крови. Увеличение: х1000.
Каналы нефроны образованы клетками эпителия, на одной стороне которых располагаются микроворсинки мембраны (так называемая «щеточная кайма»). Микроворсинки значительно увеличивают площадь всасывания. Фильтруя кровь, почки образуют мочу, состоящую из воды и лишних или ненужных веществ.
Цветная сканирующая электронная микрофотография (СЭМ) и трансмиссионная электронная микрофотография нефрона почки человека, показывающая поперечное сечение почечного канальца.
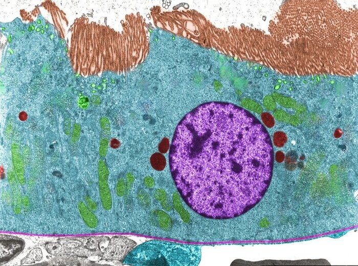
Цитоплазма клеток проксимального канальца насыщена митохондриями, которые обеспечивают клетки энергией, необходимой для активного транспорта веществ.
Цветная трансмиссионная электронная микрофотография (ПЭМ) клетки эпителия извитых канальцев почки, показывающая: щеточную кайму (коричневый), вакуоли (светло-зеленый), лизосомы (красный), митохондрии (зеленый), ядро (фиолетовый), базальную мембрану (розовый цвет). Снаружи клетки под базальной мембраной находится капилляр (голубой цвет).
Бонус: Короткое видео про строение почки и нефрона
Микропластик под микроскопом
Вопрос от подписчика: Покажите микропластик под микроскопом. Почему в последнее время им так всех пугают?
Ответ биолога: Микропластиком называют крошечные частицы пластика, размером от нескольких нанометров до пяти миллиметров.
Частицы микропластика найденные в городской почве и воде
Они могут попадать в окружающую среду из различных источников. Волокна и гранулы микропластика образуются как в результате распада крупных пластиковых отходов, так и из косметических средств (скрабы и гели с микрогранулами).
Микрогранулы пластика используемые в косметических скрабах для лица и тела
Микропластик очень опасен для окружающей среды и здоровья человека, так как его частицы присутствуют в воде, почве, воздухе и могут попадать в организм животных и человека.
Проба воды из городского пруда. Хорошо видно цветные частицы микропластика (зелёный, синий, жёлтый цвет)
Размер частиц микропластика позволяет им свободно проникать в ткани, вызывая различные проблемы со здоровьем, такие как воспаление, аллергии, изменение гормонального фона, а также отравление.
Гранулы микропластика на фоне эритроцита (красной кровяной клетки)
Кроме того, микропластик уже сейчас влияет на биосферу. Его поедают микроорганизмы, рыбы, птицы и другие животные. Это может привести к непредсказуемым последствиям, изменению пищевых цепей и нарушить биологическое равновесия в природных экосистемах.
Волокна микропластика. Сканирующий электронный микроскоп
Поэтому очень важно снижать использование пластика в повседневной жизни, а также утилизировать его правильно, чтобы уменьшить его количество в окружающей среде.
Бонус: Учёные обнаружили микропластик в крови человека
Пищухи Петербурга выкармливают птенцов. Лоси отращивают себе рога. Колючие зверьки в парках Петербурга
Обзор диких новостей Санкт-Петербурга и Ленинградской области с Павлом Глазковым/Каждой твари по паре. Выпуск #101.
Подписывайтесь на наш телеграм-канал:
Telegram https://t.me/kazdoytvaripopare
Кандиру
В этой серии постов я делюсь коротким списком случайных фактов про самых необычных представителей царства животных, которых можно встретить на нашей планете.
Представляю вашему вниманию наш сегодняшний экземпляр — кандиру
🐟 это маленький (длиной ~6см,шириной~1см) полупрозрачный сом, который водится в реках Амазонии
🐟 паразитирует на другой рыбе
🐟 сомик чувствует потоки выдыхаемой другой рыбой воды и заплывает по ним в жабры, за 30—145 секунд насыщается и покидает рыбу-хозяина
🐟 местные жители боятся кандиру, потому что считается, что она может заплыть в анальное отверстие, вагину или в пенис (но это скорее всего миф, т.к. достоверных свидетельств нет)
🐟 индейцы для защиты от кандиру надевают своеобразные плавки из скорлупы кокосовых орехов или пальмовых волокон
Источник: телеграм-канал близорукий часовщик














