
Лига биологов
СОВРЕМЕННЫЕ САБЛЕЗУБЫ
Саблезубость — нередкое явление в природе. Выдающиеся клыки отращивает себе чуть ли не каждый второй житель нашей планеты. Некоторые делают это для охоты, как, к примеру, знаменитые смилодоны. Какие-то существа эти клыки используют для разрушения и прогрызания некоторых объектов — такое использование предполагается для тилакосмилов, у которых клыки имели низкую чувствительность и росли всю жизнь. Саблезубыми можно назвать даже представителей парнокопытных, таких как кабарга или мунтжак, которые пользуются клыками для выяснения отношений.
К сегодняшнему дню, к сожалению, львиная доля саблезубых вымерла — вся клада махайродонтин, к которой принадлежали почти все хищники с огромными клыками. Но где-то в глухих джунглях Юго-Восточной Азии сохранились кошки, похожие на их вымерших сородичей. Конечно, это не чудом выживший мини-смилодон или диниктис, да и вообще не представитель какого-либо вымершего семейства или клады, а просто конвергентно схожий с этими кошкообразными зверь.
Дымчатый леопард, среднеразмерный хищник, облюбовавший в качестве охотничьих угодий территории от Китая и до Вьетнама. Зверь похож на леопарда что внешне, что внутренне — относится к той же кладе, что и другие большие кошки, а шкура покрыта благородными дымчатыми разводами, за что кошак получил первую часть своего имени.
Как и любой уважающий себя среднеразмерный зверь в Юго-Восточной Азии, дымопард чувствует себя на деревьях как дома и ловко перемещается над землёй, прыгая по толстым веткам и залезая по стволам к небу. Там же зверь и охотится, применяя свои огромные клыки.
Клыки у кошки и правда огромные — при среднем весе животного около 18 кг его клыки могут достигать длины до 5 см. Для сравнения у тигра, который в среднем весит в 10 раз больше, клыки длиной лишь 8 см. Среди живущих кошек "дымка" имеет самые длинные клыки относительно размера тела.
Зачем же не особо крупному коту такие клычищи? Рыси и оцелоты без проблем охотятся и с менее внушительными зубами, при этом имеют более стабильную популяцию и большую численность.
Дымопард же любит дичь покрупнее. Так, например, дымчатый леопард, живущий в лесах северной части Лаоса, в качестве добычи предпочитает кабанов (до 33% в рационе) и свиных барсуков (до 28% в рационе).
Естественно, толстокожий свинтус или тихоня-барсук с длинными когтями и противным нравом будут более сложной добычей, чем грызуны и зайцеобразные, так что и вооружение для их устранения требуется особое.
Иногда дымчатые леопарды атакуют особо опасную дичь, например, обезьян-носачей или даже орангутанов.
Нападение на человекообразных обезьян — это очень опасный метод найти себе пропитание, но с правильным набором отмычек можно вскрыть любой сейф.
Также были зафиксированы случаи охоты этой кошки на малайских медведей, что делает дымку одним из самых опасных животных для своего размера.
Текст: #Свиноваранасский@inbioreactor
Редактура: #operkfs@inbioreactor
Можно прекрасно обучаться, даже если нет мозга
С помощью света и тока биологи добились от актиний осмысленного поведения.
Такое удивительное открытие сделали нейробиологи из Фрибурского университета (Швейцария) и Барселонского университета (Испания), статья которых опубликована в журнале Proceedings of the National Academy of Sciences.
Способность к обучению обычно автоматически связывают с наличием мозга и интеллекта. К примеру, если вы обладаете достаточным умом, то легко обнаружите связь между ожогом и прикосновением к горячей плите, после чего станете вести себя осторожнее. Точно так же и другие животные учатся на ошибках, запоминают неприятные последствия, и меняют свое поведение. Это называется ассоциативным обучением.
Однако далеко не все обладают мозгом. Например, морские анемоны (актинии), медузы и кораллы могут похвастаться лишь рудиментарной, децентрализованной нервной системой. Поэтому логично было бы предположить, что они не способны к такому сложному поведению, как ассоциативное обучение, а лишь реагируют на происходящее вокруг на уровне рефлексов. Но профессор Симон Шпрехер и его коллеги обнаружили, что морские актинии Nematostella vectensis прекрасно учатся через ассоциации, обходясь при этом без мозга.
Учёные провели серию экспериментов, в ходе которых актиний подвергали воздействию вспышек света и слабых электрических разрядов. В ответ на разряд актинии обычно втягивают свои щупальца. Иногда включение света и электрический шок совпадали по времени, чтобы создать ассоциацию, а иногда происходили вразнобой.
Со временем актинии так натренировались, что втягивали свои щупальца просто в ответ на вспышку света, без электрического разряда. То есть, несмотря на отсутствие мозга, у актиний существует некоторое подобие памяти, позволяющее им связать между собой два события и соответствующим образом адаптировать свое поведение, объяснил профессор Шпрехер.
Правда, учёным пока совершенно неясно, как именно примитивная нервная система справляется с такими сложными задачами. Выяснить это ещё только предстоит.
Чрезвычайно опасные белки в вашей голове. Несколько интересных фактов про прионы
Приветствую друзья, ещё в конце 19 века Фридрих Энгельс писал: "Жизнь - есть способ существования белковых тел". Конечно, в те времена учёные ещё ничего не могли знать про прионы.
Однако сегодня нам известно, что существуют белки, которые наоборот способны эту самую жизнь сократить и вызвать тяжелейшие, неизлечимые заболевания не только у человека и животных, но даже у растений и грибов.
Опасные белки (сгенерировано нейросетью Kandinsky 2.1) и структура прионного белка
Что такое прионы?
Прионы - это белковые молекулы с изменённой третичной структурой (подробнее можно посмотреть на картинке). В результате этих изменений они приобретают способность влиять на другие, здоровые белки и превращать их в такие же аномальные структуры.
Структуры белковых молекул
Прионную инфекцию можно назвать аналогом "зомби вируса" на молекулярном уровне. Зомби - белок кусает здоровый, из-за чего тот сам становится зомби и тоже начинает заражать всех вокруг.
В результате возникает цепная реакция, численность прионов в тканях растёт в геометрической прогрессии и такое масштабное изменение не может пройти для организма незамеченным.
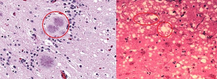
Отдельные клетки погибают, а в тканях образуются белковые бляшки, вздутия и полости.
Бляшки и полости в мозговой ткани вызванные прионной инфекцией
Как появляются прионы?
Прионы были открыты относительно недавно (в 1982 году) и из-за их малых размеров и сложности проведения исследований, у человечества всё ещё недостаточно данных для полного описания их природы.
Размеры приона на фоне эритроцита и бактерии и его пространственная структура
На данный момент считается, что прионные заболевание можно приобрести тремя способами:
1. Прямым заражением. Поедание пищи содержащей большое количество прионных белков;
2. Наследственно. Мутация в генах кодирующих "нормальность" структуры белка;
3. Спонтанно. Доказано, что аномальные изменения в структуре белка могут происходить случайно, либо под ещё не выясненными факторами окружающей среды.
Пути заражения и изменения тканей в результате прионных заболеваний
Болезнь Куру
Одним из первых обнаруженных заболеваний человека, вызванных прионами стала болезнь Куру.
Возникало оно лишь у некоторых племён проживающих в регионах Папуа-Новой Гвинеи. В последствии учёными было выяснено, что его причиной является ритуальное поедание мозга и других тканей умерших родственников.
В этих тканях накапливалась высокая концентрация прионов, которые попадая в организм приводили к разрушению мозга, деменции, параличу и гибели.
Прионные структуры внутри мозга (иллюстрации)
Ограничитель бессмертия
Несмотря на то, что прионные заболевания встречаются довольно редко, они могут стать одним из главных факторов ограничивающих продолжительность жизни.
Поскольку численность прионов со временем возрастает экспоненциально, то человечеству непременно придётся разработать лекарства для борьбы и сдерживания их распространения.
Пока большинство людей просто не доживают до момента, когда прионы становятся значимым фактором влияющим на их здоровье.
Скрытая угроза
Прионы были обнаружены не только у представителей царства животных, но и у растений и даже грибов. Это свидетельствует о том, что это довольно распространённое явление в природе.
Прионы обнаруженные у грибов и их проявления
Вполне вероятно, что существуют десятки или сотни менее патогенных прионов которые могут влиять на наш организм, но из-за недостаточного количества информации и отсутствия способов их обнаружения, мы даже не догадываемся об их существовании.
Кипячение не поможет
Прионные белки невероятно устойчивы к различным физическим и химическим воздействиям, которые используют для стерилизации.
Прионы способны выдержать: высокую температуру, облучение ультрафиолетом и гамма лучами и даже обработку спиртом и другими химическими веществами.
Универсального средства для борьбы с прионами пока не существует, но учёные уже разработали лекарства, которые стабилизируют и меняют их структуру делая их безопасными и снижая таким образом скорость заражения организма.
Структуры прионного белка. Просвечивающий электронный микроскоп. Увеличение х90 000 раз
Спасибо, что дочитали, если у Вас возникнут вопросы, можете задавать их в комментариях, постараюсь по возможности ответить.
Другие соц.сети проекта:
Дзен (блог про биологию)
Ютуб
Вконтакте
Карта для пожертвований: 4276 3100 3165 8117
Зачем выдре усы?
Скажем прямо, не для красы, хотя рифма и напрашивается.
В отличии от человека у выдр это кавалеристской растительностью могут похвастаться как брутальные самцы, так и нежные барышни.
И даже совсем маленькие детёныши уже щеголяют с дополнительной порослью на мордочках.
Функции выдриных усов сильно отличаются от человеческих. Вообще антропологи до сих пор не пришли к единому мнению, зачем человечество сохранило волосы на лице. Если для защиты рта и шеи от холода и травм, то почему только у мужчин? Некоторые ученые считают, что дело тут скорее в демонстрации пола, возраста и физического состояния для привлечения партнёрш и устрашения соперников. Поэтому усы и начинают расти, когда человечий детёныш взрослеет, и готов к размножению.
У выдр же, как и многих других млекопитающих (котиков в том числе))) усы называются так только в просторечии. Правильное название этой части тела - вибриссы. От латинского vibrissae, от vibro — колебаться, извиваться.
Вибриссы - это контактный орган осязания. Они выступают над основным шёрстным покровом, они толще и жёстче и длиннее, чем прочая шерсть. Но главное их отличие - это строение. К каждой такой антенне подведён нерв.
Каждой вибриссе соответствует свой участок мозга. На картинке схема про грызунов, но у выдр принцип тот же.
Есть версия, что вибриссы древнее, чем прочая шерсть и являются "наследниками" такого органа, как боковая линия у рыб. Для простоты можно сказать, что вибриссы это чувствительный контактный датчик движения.
Располагаются такие усы в основном вокруг рта, носа и глаз.
Но и в других местах тоже имеются. На подбородке и горле.
И даже запястьях.
Вибриссы чувствительны не только к прямому контакту, но и к движению воздуха и колебаниям воды. Поэтому они так развиты у водоплавающих млекопитающих.
Вибриссы могут менять угол наклона, за счёт движения мышц. Выдра, которая хочет что-то исследовать - топорщит свои усы и ощупывает ими предметы. Особенно ценно свойство в мутной или тёмной воде, где плохо видно, почти не слышно, и нельзя проанализировать запах, не наглотавшись жидкости.
Вибриссы так же позволяют контролировать поведение уже пойманной жертвы, поскольку видно её плохо. А ещё она извивается и норовит удрать. На суше выдры предпочитают держать рыбу в лапах и так обедать, но до берега они транспортируют вкусняшки в зубах.
Выдротакса)))
С детёнышем или партнёром тоже можно пощупать друг друга усами.
Как и другая шерсть вибриссы тоже ломаются и выпадают. Потеря одной-двух не страшна, но если состричь все, то животное будет чувствовать себя неуверенно и будет испытывать стресс, лишившись важной части своих ощущений. Утраченные вибриссы снова отрастают со временем, если не повреждены луковицы и фолликул.
Одна из наших выдр трётся об камни, чтобы выжать влагу из шерсти. Вибриссы немного видно.
И вся куча.
Все фотографии из интернета, кроме последних трёх. На фото изображены разные виды выдр. Наши - азиатские (восточные) бескоготные.
В Петербург из Западной Европы вернулись самые многочисленные чайки нашего города
Лесные новости от @club147416952 ( Павла Глазкова/Каждой твари по паре). Чтобы не пропустить лесные новости Санкт-Петербурга и Ленинградской области, подписывайтесь на Telegram-канал https://t.me/kazdoytvaripopare
Знакомьтесь: чайки озерные. Сейчас, в брачном наряде, они хорошо выделяются среди других видов чаек своей тёмно-коричневой головой и белым затылком. Вокруг глаз у них тонкий белый ободок. Это одна из самых распространённых чаек в мире — её общая численность превышает 4 млн! Большинство птиц уже образовали крепкие пары. Самцы у чаек – преданные семьянины. Ну а кто из озерных чаек по дороге домой не успел найти пару, у того еще есть шанс встретить свою вторую половину в нашем прекрасном городе!
История создания противозмеиной сыворотки
Если вас по какой-то причине кусает змейка, то в больнице (в идеале, а не как у нас в большинстве случаев) вам вливают противозмеиную сыворотку. Начнем с того как делают эту сыворотку. Если очень кратко и примитивно, то берут яд гадюки (просто в качестве примера, так как это самая обычная змея в нашей природе), который вводится в кровь лошади или свиньи. Лошадиная или свиная иммунная система на посторонние примеси в крови, естественно отвечает выработкой антител. И когда концентрация этих антител достигает максимума (спустя определенное время), кровь собирают, очищают и получают сыворотку. Вроде все просто, да?
Но, на самом деле есть один нюанс... Насколько мне известно, сейчас в России только в одном месте "доят" гадюк - в "Сибирском серпентариуме" (г. Новосибирск), а сыворотку производит ФГУП НПО «Микроген» (г. Нижний Новгород). И вот тут этот самый нюанс и спрятался. Дело в том, что состав яда у змей из разных регионов отличается между собой (где-то специфических белков больше, где-то меньше). И не только регионов, а даже среди популяции внутри одного региона. Т.е. грубо говоря, сыворотка из яда гадюк, которые ползают в Новосибирской области, отличается от яда гадюк из Нижегородской области. И из-за этого сыворотка на 100% помогает если вас тяпнула гадюка в окрестностях Новосибирска и почти (повторюсь - почти, но не совсем) бесполезны против гадюк из окрестностей Н. Новгорода.
Но. это прелюдия, чтобы было понятно о чем речь... Представляю вашему вниманию, 44 главу под названием "Противозмеиная сыворотка" из книги Михаила Шифрина "Сто рассказов из истории медицины" (изд. Альпина Паблишер, 2019, 696 стр.). Разрешение на распространение именно этой главы получено от автора в личной переписке.
10 февраля 1894 года в Париже на заседании Биологического общества Альбер Кальметт представил первую в историю сыворотку, способную спасти человека, ужаленного змеёй. Но скоро выяснилось, что от укусов бразильских змей сыворотка не помогает. Разразился скандал, который помог сократить смертность от змеиных укусов в 120 раз и продлить жизнь гипертоников.
Октябрь 1891 года выдался на юге Вьетнама настолько дождливым, что воды Меконга затопили половину округа Бакльеу. Спасающиеся от наводнения кобры вторглись в деревни и покусали двадцать человек, из которых четверо умерли. На помощь вызвали профессионального заклинателя змей. Он отловил 19 штук. Заклинателю было жалко убивать кобр, и он сдал корзину с ними в колониальную администрацию, поскольку слыхал, что европейцы держат змей в зоопарках.
Южный Вьетнам был тогда французской колонией Кохинхина со столицей в Сайгоне. Как раз в том году Луи Пастер командировал в Сайгон своего сотрудника Альбера Кальметта, чтобы развернуть производство вакцины от бешенства. Колониальная администрация решила, что кобры в этом деле могут пригодиться, и переслала корзину Кальметту. 14 змей из 19 доехали до места назначения живыми.
Кальметт не умел обращаться с кобрами. Он сразу порешил их, чтобы извлечь яд. Набралось по 60 капель с головы. Ещё ни один европейский исследователь не получал в своё распоряжение столько яда кобры. А с ядами к тому времени уже научились бороться. Стало известно, что болезни вызывают не сами микробы, а выделяемые ими токсины. Если ежедневно вводить в организм лошади микробный яд, увеличивая дозу, то через 10 дней в её крови будет столько антитоксина, что инъекция пациенту сыворотки крови этой лошади может прекратить заболевание. Таким образом побеждали столбняк и дифтерит. Кальметт шёл проторенным путём. И всё же, когда на пастеровской станции в Сайгоне противозмеиная сыворотка спасла ужаленного коброй вьетнамца, это была мировая сенсация – ничего подобного прежде не бывало.
Альбер Кальметт (1863-1933), шарж из серии карикатур на членов Медицинской академии, 1908 год. Впоследствии Кальметт войдёт в историю как создатель противотуберкулёзной вакцины БЦЖ, а тогда он был известен борьбой со змеиными укусами и бактериями, обитавшими в сточных водах. На рисунке академика окружают змеи разных видов. Остроту шаржу придавали утверждения бразильцев, что противозмеиные сыворотки помогают от укусов рептилий, но не всех. Это весьма расстраивало Кальметта. Художник Альфонс Гектор Колон (псевдоним Молош). Карикатуры выполнены для журнала "Шантеклер".
Сделанная Кальметтом сыворотка помогала от яда любой кобры, при укусе морских змей и даже мамбы, помогала ужаленным всеми без разбора змеями Австралии - самыми опасными в мире! В 1896 году об этом узнал начинающий бразильский врач Витал Бразил, только что открывший частную практику в городке Ботукату. Местные жители, португало-индейские метисы кабокло, приносили ему укушенных змеями. В Бразилии чаще всего на людей нападают жарарака (Bothrops jararaca) и каскавелла (Crotalus durissus) – южноамериканский гремучник. Они принадлежат к семейству гадюковых. Их ядозубный аппарат гораздо совершеннее, чем у кобры: длинные клыки в обычной обстановке складываются, как перочинные ножи.
Только в одном штате Сан-Паулу, где работал Витал Бразил, змеи за год кусали до 20 тысяч человек, из которых 5 тысяч погибали. И медицина ничего не могла поделать. Были ещё знахари, так называемые «змеиные лекари». Он использовали ароматные цветы франжипани, пропитанные ядом. Чтобы получить его, знахари ловили змей и держали их в клетках. Витал Бразил приобрёл у них несколько гремучников, научился с ними обращаться, выдаивать их яд. Пропитывал цветы франжипани – всё как учили. Но в опытах на кроликах это народное средство никакого клинического эффекта не показывало. И тут, к восторгу Витала Бразила, ему попалась статья Кальметта о противозмеиной сыворотке. Он выписал из Франции волшебный препарат, стал его применять по инструкции. Безрезультатно. Должно быть, вышел срок хранения – французы прислали сыворотку двухлетней давности. Значит, надо приготовить сыворотку самостоятельно по методике Кальметта. А для этого требуются государственные ресурсы.
Как раз тогда в порту Сантос началась эпидемия бубонной чумы. Власти штата Сан-Паулу создали бактериологический институт, в составе которого была запланирована лаборатория для производства противочумной сыворотки. Витал Бразил ничего не знал о чуме, но взялся организовать эту подразделение, чтобы попутно делать там противозмеиную сыворотку. Начальство смотрело на это благосклонно: жарараки и каскавеллы убивали больше народу, чем чума. Для лаборатории была куплена фазенда Бутантан, названию которой предстояло прогреметь на весь мир.
Витал Бразил действительно организовал там серийное производство противочумной сыворотки. Но отрабатывая обязательную программу, он в 1898 году сделал экспериментальную сыворотку, спасавшую от яда гадюковых. Сочувствующее население несло в Бутантан змей самых разных видов. Образовался целый террариум. Теперь можно было повторно выписать сыворотку Кальметта и устроить ей масштабные испытания. Оказалось, французский препарат помогал только от укуса кораллового аспида.
Разобраться, что здесь не так, помогли сами змеи. Кабокло принесли в Бутантан чёрную муссурану. Богатые люди держали муссуран на своих фазендах как домашних животных. Для человека они безобидны, так как питаются исключительно змеями. Жарарак и каскавелл они спокойно душат и глотают, змеиный яд им нипочём. Если на фазенде живёт муссурана, дети могут спокойно играть во дворе – опасные гады соблюдают дистанцию.
Витал Бразил подкинул муссуране кораллового аспида. Он тоже был съеден, но после этого муссурана издохла, демонстрируя симптомы отравления ядом кобры. А надо сказать, что эти симптомы не похожи на результат укуса гадюковых. От укуса кобры умирают красивей – наступает паралич нервных центров, в том числе дыхательного, и жертва погибает от удушья. Совсем иное дело – укус гюрзы или жарараки, с их гемотоксичными ядами: отёки, некроз, кровотечения, раны. Если Клеопатра действительно убивала себя с помощью змеи, то наверняка выбрала кобру или кого-нибудь из семейства аспидов.
Поскольку результаты опыта с муссуранами были воспроизводимы, Витал Бразил пришёл к мысли о специфичности антигенов. Природа наделила муссурану антигеном только от гемотоксичных ядов, потому что чаще всего ей попадаются жарараки. По той же причине французская противоаспидная сыворотка приносит мало пользы в Бразилии. Эта теория вызвала у Кальметта глубокое возмущение. Он заявил, что его сыворотка универсальная, а бразильские специалисты безрукие. И сторону Кальметта принял Институт Пастера.
Институт Бутантан, Сан-Паулу, Бразилия: руководитель института Витал Бразил (1865-1950) отбирает яд змеи-носорога уруту. Это довольно распространённая в Южной Америке крупная змея семейства гадюковых, от укуса которой взрослый человек массой 70 кг умирает за два часа. Фото: Институт Бутантан vitalbrazil.rj.gov.br
Спор был решён практически в поединке. 27 января 1916 года в Нью-Йорке, в зоопарке Бронкса, случилось ЧП. Когда смотритель Джон Туми чистил террариум, недавно отловленный техасский гремучник укусил его в большой палец руки. Старший смотритель тут же высосал рану и наложил давящую повязку, штатный врач впрыснул противозмеиную сыворотку Кальметта, но пострадавшему становилось всё хуже – у него явно было внутреннее кровотечение, а рука раздулась от отёка. Совершенно случайно в тот день Витал Бразил оказался в Нью-Йорке на научной конференции. И при себе имел образцы сыворотки против укуса каскавеллы – почти что родной сестры техасского гремучника. Главный герпетолог зоопарка тоже присутствовал на той конференции и одолжил у Бразила его препарат. Вскоре Туми вернулся на работу в зоопарк.
Эта победа прославила Витала Бразила на весь мир. Его лаборатория превратилась в Институт Бутантан и стала знаменем Бразилии. С одной стороны, это привлекло щедрое госфинансирование. Бразильцы организовали не имеющую аналогов в мире службу сбора змей. Любой желающий мог помочь институту, отловив рептилию и переслав её Виталу Бразилу в казённом ящике за казённый счёт. Таким образом до сих пор институт получает только жарарак по 12 тысяч штук в год. Из них выдаивается до 6 литров бесценного яда.
Витал Бразил (1865-1950) на банкноте Бразилии 10 000 крузейро 1992.
Когда в 30-е годы выдающиеся химики бежали из Германии от нацистов, Витал Бразил пригласил их изучать пептиды яда жарараки. Он чувствовал, что раз укус этой змеи разрушает систему кровообращения, её яд наверняка содержит вещества, полезные для лечения сердечно-сосудистых заболеваний.
Но близость к руководству страны оборачивается зависимостью. Когда к власти пришли популисты, они провозгласили, что институт должен заниматься не какими-то там пептидами, а делать то, что нужно простому народу – сыворотки. Одних химиков из Бутантана сократили, другие выехали за границу. Открытый ими в яде жарараки брадикинин-потенцирующий фактор стал новым препаратом для гипертоников уже не в Бразилии, а в Англии. Так появился каптоприл – лекарство, которое выручает больных-сердечников при гипертоническом кризе.
P.S. На всех фотографиях обыкновенная гадюка (Vipera berus) из Мордовии
_________________
Добро пожаловать на мой сайт по амфибиям и рептилиям "Герпетофауна Поволжья" и на мой телеграм-канал "Записки натуралиста"
























































