Сообщество - Лига врачей

Лига врачей

2 514 постов 4 735 подписчиков

Популярные теги в сообществе:

5

Болезнь Шляттера. Как лечить

Для диагностики болезни Шляттера часто хватает осмотра врача. Припухлость и болезненность в области бугристости большеберцовой кости, боль после или во время занятий. И диагноз уже в карте.


Но бывают состояния, когда этого недостаточно.

По рекомендациям Европейских стран нужно сделать УЗИ. НА УЗИ видно отек собственной связки надколенника. По мне, данных не хватает. Иногда на УЗИ все хорошо, а на рентгене удивляюсь как ребенок еще футболом занимается.


При отрыве бугорка без МСКТ или МРТ не обойтись.

МСКТ позволяет выстроить 3D модель костей сустава, рассмотреть отрыв.


Как же лечить?


1) Холод на область бугристости после тренировок. Холод сужает сосуды, успокаивает нервную систему

2) Уменьшение физ нагрузки. Исключаются все упражнения на сгибание в коленном суставе. Порой месяца покоя хватает на зарастание кости и надкостницы

3) Прием НПВС (нестероидные противовоспалительные средства). Препараты снимают отек, уменьшают боль. Чаще назначаю Найз и Ибупрофен

4) Наколенник

5) Исключить стояние на коленях, сидение в приседе. Исключаем всю нагрузку на колено. У спортсменов переходим к упражнением на корпус, голени, ТБС.

6) Растягивание мышц передней поверхности бедра.

Данные упражнения растягивают четырехглавую мышцу, снимая с нее спазм.

Можно так же раскатывать мышцу на ролле

7) Коррекция витамина Д. по 1500 МЕ - профилактическая доза. Подросток сдает вит Д в лаборатории. в зависимости от результата, увеличиваем дозировку

8) тейпирование на время тренировок

Если боль сохраняется или есть отрыв бугристости, выполняют хирургическое лечение

В 90 % случаев болезнь Шляттера полностью проходит к 18 годам.

Еще больше в моем канале https://t.me/doc_ortoped

Показать полностью 8
217

Байки со скорой. "Дуэль у метро Академическая"

Это я сейчас "добрый доктор, детский врач" и работаю на неотложной. А с 2008 по 2013 год трудился фельдшером на 03. Не знаю как сейчас, а в то время ношение и как следствие применение травматического огнестрельного оружия было весьма распространённым явлением. Не скажу, что каждую смену приезжали на последствия перестрелок, но подобный повод для вызова удивления не вызывал. И как- то лично у меня сложилось впечатление, что "травмат"- максимально бесполезный предмет. Поэтому когда появилась необходимость получать разрешение на хранение охотничьего оружия, от шальной мысли о приобретении травматического отказался сразу.
Обосную:
1. Я и так регулярно прохожу медицинское обследование для получения допуска к наркотическим средствам, необходимое на работе. Поэтому когда у родственника образовалось охотничье гладкоствольное ружьё, от которого он хотел избавиться, поскольку не использует. Я решил оформить его на себя. Раз в год можно поездить с друзьями "пострелять по тарелочкам" (стендовая стрельба в тире, а не то, чо вы подумали). Справки одни и те же, два раза ходить не надо. Да и формулировка "мне нужно разрешение на оружие и наркотики" звучит максимально круто! особенно в психиатрическом диспансере...
Так вот, кроме приключений с получением кучи справок, любителям "травматов" нужно каждые 5 лет проходить некое обучение.
2. В юридической стороне вопроса я не специалист, но сложилось впечатление, что законно использовать травматическое оружие практически невозможно.
3. Есть старый анекдот:
Дикий запад, в салун входит ковбой и начинает палить по стаканам, по бутылкам, выстрелами гасит свечи. Подходит к нему бармен и говорит:
- Парень, спили мушку.
- Это ещё зачем?
- Похоже у тебя кончились патроны и сейчас мы тебе твой пистолет, так сказать, введём ректально. поэтому лучше спили мушку.

По вызовам, на которые я приезжал, сложилось стойкое впечатление, что наличие у одного из участников конфликта "травмата", вместо решения проблем только порождало новые. Да и останавливающее действие резиновых пуль весьма условное. Помнится, лечили мы гражданина под воздействием наркотических средств. В ходе некого конфликта, он схлопотал пулю в грудину (это кость, которая спереди соединяет рёбра, просто не все в курсе). Резинка застряла в кости и торчала наружу. Тем не менее, гражданин совершенно не обращал на неё внимания. Угомонить его смог только наряд патрульно постовой службы милиции (до ребрендинга), применив некий газ.
С другой стороны, если бы та же пуля пошла левее, у гражданина были все шансы раз и навсегда покончить с приёмом психоактивных веществ (бросают все, но не все при жизни). Стрелок бы, в свою очередь, узнал что значит " 105 ст. УКРФ". И потом много лет размышлял о целесообразности своих действий.

Да и вообще, мой жизненный опыт говорит о том, что гораздо эффективней разрешать конфликты переговорами. А любое оружие необходимо исключительно уполномоченным гражданам- охране и полиции.

____________________________________________
YouTube: https://youtube.com/c/Док…
Телеграм: https://t.me/doctor_dmolodoy
Вконтакте: https://vk.com/doctor_molodoy
Яндекс Дзен: https://zen.yandex.ru/doctormolodoy
ТикТок: https://www.tiktok.com/@doctor_molodoy?l%85=

Показать полностью
53

Поджелудочная железа в необычном месте или когда болит гастрит!

Жила была женщина, которая однажды очень хорошо покушала. Настолько хорошо, что появились боли в верхних отделах живота, при чем очень сильные.


И эти боли были очень долго - около 4 месяцев, то сильнее, то слабее.


При фиброгастроскопии (ФГС) нашли язву желудка, которую очень интенсивно пытались лечить. Эффект был, но очень непродолжительный. Вскоре боли стали усиливаться после еды.


При контрольном ФГС обнаружили полип желудка больших размеров. Так как не сходилась картина язвы и полипа, ради второго мнения сделали ФГС еще раз, на котором написали подслизистое образование желудка.


Конечно была биопсия, по которой пришла стенка желудка с небольшим воспалением, гастрит.


При ФГС в стационаре описали так называемую аберрантную поджелудочную железу. То есть участок поджелудочной железы в стенке желудка. А то, что приняли при первом ФГС за язву - выводной проток этой самой железы в стенке желудка.


Пролечили пациентку по схеме острого панкреатита, боли прошли, анализы нормализовались. При чем при "пост-фактум" оценке симптомов и жалоб больной реально картина была больше похожа на острый панкреатит.


Мой Вконтакте:

https://vk.com/hirurg_perm

Показать полностью 3
597

Перименопауза

Этот сложный переходный возраст.
И, хоть переходный возраст во взрослую жизнь тоже не простой, сегодня не о нем. Речь пойдет о менопаузальном переходе, когда у женщины угасает и завершается репродуктивная функция и она приближается к последней менструации в своей жизни – менопаузе.

Средний возраст наступления менопаузы – 51 год. Нормальный возраст наступления менопаузы – 45-55 лет, с 40-45 лет менопауза считается ранней, с 55 и старше – поздней. О том, что наступила менопауза, мы можем сказать спустя 12 месяцев от последней менструации.

Что может происходить с женщиной в этот период?

Первый и основной симптом – это различные нарушения менструального цикла. Промежутки между менструациями могут сокращаться, часто это первый этап перехода. Женщина замечает, что ее обычный цикл стал короче, интенсивность выделений тоже может уменьшиться, а может и увеличиться. Впоследствии циклы удлиняются и могут составлять 40-45 дней, а еще через какое-то время – могут быть задержки до 90 и более дней. Этот период очень индивидуален для каждой женщины и может проходить совершенно по разному сценарию.

Приливы.
Появляются обычно до менопаузы, беспокоят до 80% женщин и могут сильно отравлять жизнь. «Перетерпеть» их нельзя. Приливы выражаются во внезапном, накатывающем волной, чувстве жара в верхней половине туловища и лица, покраснением лица и груди, затем это чувство жара может распространяться по всему туловищу. Во время приливов возможно наличие чувства тревоги и беспокойства, озноба и дрожи, учащения сердцебиения. Неясно почему они возникают, длятся в среднем 4 года. Однако, в некоторых случаях, могут длиться и гораздо дольше, 10-20 лет, и беспокоить женщину в глубоком постменопаузальном периоде.

Ночная потливость
Похожа на приливы жара, но возникает ночью и сопровождается обильным потоотделением, заставляя женщину просыпаться. Некоторых женщин беспокоит настолько часто, что мешает полноценному сну ночью и выбивает из колеи, снижая работоспособность.

Проблемы со сном.
Очень частая жалоба женщин в переходном периоде, даже тех, кого не беспокоит ночное потоотделение. Проблемы с засыпанием, качеством сна могут сильно сказываться на качестве жизни.

Сухость влагалища.
Слизистые вульвы, влагалища и уретры из-за дефицита эстрогенов становятся тонкими и сухими. Жалобы также могут появляться задолго до менопаузы. Женщину могут беспокоить боли при половом акте, дискомфорт, зуд половых органов. Рези при мочеиспускании, учащенное мочеиспускание и позывы к нему. Все это вместе называется по-научному генито-уринарным менопаузальным синдромом (ГУМС).

Боли в суставах, утренняя скованность тоже нередкие жалобы переходного и постменопаузального периода. Немногие женщины винят в этом женские гормоны и очень удивляются тому, что это имеет связь. Еще дефицит эстрогенов повышает риски остоепороза, но про него подробнее поговорим как-нибудь в другой раз.

Психо-эмоциональные и интелллектуальные проблемы. Проблемы с памятью, когнитивными способностями, ухудшение настроения, депрессии очень часто беспокоят женщин в этом периоде. Связаны как с дефицитом эстрогенов, так и с разными психологическими и физиологическими моментами. Женщина часто тревожится из-за изменений внешности, ухудшения состояния кожи, потери интереса к сексу. А общество и красивые отредактированные картинки в соцсетях зачастую убеждают ее в собственном несовершенстве. На этом фоне достаточно часто возникают состояния, требующие профессиональной специализированной помощи психолога или псхотерапевта и не нужно стыдится и бояться за ней обратиться.

Для того чтоб оценить выраженность симптомов менопаузы существует специальный опросник или шкала Грина. Можно его самостоятельно найти в поисковике. Чем больше баллов вы набираете, тем более тяжелыми считаются симптомы.

Если тема интересна - в следующий раз расскажу, какие есть способы помочь женщине пережить этот период.

ТГ https://t.me/docalimova
ВК https://vk.com/doc.alimova
Дзен https://zen.yandex.ru/id/61f67b1c0646210d28ad31ad

Показать полностью 2
13

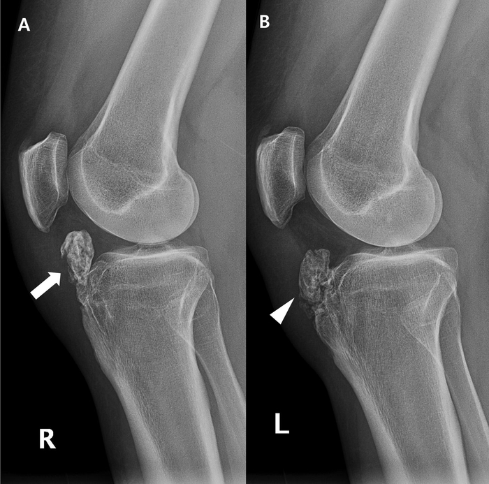
Болит под коленкой

Частая причина обращения подростка- спортсмена к ортопеду - боль под коленом в области бугристости. В большинстве случаев - Болезнь Шляттера (изменения в бугристости большеберцовой кости)

Спрашиваю о роде занятий (футбол, хоккей, теннис и тд)., когда болит, как давно началось, когда проходит. В большинстве случаев это прыжковый спорт или беговой.


К бугристости большеберцовой кости (под коленом) крепится связка надколенника. Данная связка - сухожилие прямой мышцы бедра (часть четырехглавой мышцы). Пи частом сгибании коленного сустава, мышца напрягается. Она укорачивается. Начинает тянуть за собой точку прикрепление с надкостницей. Возникает отек и болезненность.

Пациенты обращаются к врачу, когда уже боль стойкая, ноющая, не дающая заниматься. Кроме боли ничего не беспокоит.


Я повожу осмотр коленного сустава, вокруг него. Вместе с пациентом проводим ряд тестов. Обычно для постановки диагноза достаточно знать где болит, как болт и провести осмотр. Но бывают состояния, когда нужно уточнить степень заболевания. Тогда направляю на рентген коленного сустава в 2-х проекциях.

На снимках 2 разных стадии болезни Шляттера: слева с отрывом бугристости большеберцовой кости, справа -без.

От состояния кости строиться тактика лечения и прогноз.

Однозначно, помочь можно любому спортсмену с данной патологией. И спорт не бросаем, а даю специальные упражнения, ограничения.


Что используется для лечения:

Оперативное лечение

Консервативное лечение (без операции)


Если тема зайдет, напишу о лечении поподробнее.

О детях помладше в моем канале https://t.me/doc_ortoped

Показать полностью 2
21

Берегите своих родителей

Вчера наткнулась на жизнеутверждающий пост о том, как мы вечно спешим, решаем свои рабочие вопросы, занимаемся своими детьми и иногда забываем позвонить своим МАМАМ и ПАПАМ или навестить их..

У некоторых в душе старая или совсем свежая печаль об ушедших родителях. А у других растерянность и тревога за здоровье своих родителей..
А есть такие люди, у которых родители живы, но...ушли. Ушли в беспамятство. Они потеряли способность быть собой, не узнают близких, не могут сами за собой ухаживать. Живут в своём мирке и до них не достучаться.. Их лечить уже БЕСПОЛЕЗНО, деменция на поздней стадии не лечится!

И чтоб не допустить такую ситуацию- ОЧЕНЬ ВАЖНО своевременно привести на приём к врачу своих мам и пап, провести им нейропсихологическое обследование, начать как можно раньше лечение! Это коррекция факторов риска, рекомендации по питанию и физ.нагрузкам, коррекция психологического фона, медикаментозная терапия, подобранная специалистом.
В начальной стадии деменцию МОЖНО ПРИОСТАНОВИТЬ.

Перечислю 10 ранних признаков деменции:

-ухудшение памяти (в особенности на недавние события), оказывающее влияние на повседневную деятельность
-трудности в планировании и/или решении проблем
-сложности в выполнении повседневных задач дома, на работе, на отдыхе
-нарушение временной или пространственной ориентировки
-проблемы зрительного распознавания или пространственного восприятия (цвета, расстояние)
- затруднения в подборе слов в разговорной или письменной речи
-систематическая потеря вещей (размещение их в необычных местах, невозможность вспомнить- куда положил)
- неспособность принимать адекватные решения (излишняя доверчивость, нерешительность)
-уклонение от работы или иной деятельности (потеря интереса к работе, своим увлечениям, хобби)
-эмоциональные нарушения (страх, тревога, беспокойство, тревога, дискомфорт вне дома)

Если обнаружены некоторые из этих симптомов- показана консультация невролога и психиатра. На осмотре будет проведено нейропсихологическое обследование, будут выявлены факторы риска и вынесен вердикт о наличии или отсутствии деменции. Крайне важно начать ВОВРЕМЯ лечение, сейчас есть препараты с доказанной эффективностью для приостановки прогрессирования этого грозного недуга.

Так Вы продлите осознанные, счастливые, спокойные года жизни вашим родителям и это прибавит столько же счастливых лет и Вам самим!

Показать полностью
Отличная работа, все прочитано!