
Искусственный интеллект
Вопрос
Подскажите какую-нибудь программу для проведения бизнес-аналитики чтобы можно загрузить было документ какие-то данные и на основе нейросети выдавался хотя бы какой-нибудь упрощенный текстовой анализ-процентный и т.д есть ли такие программы?
Как создаются российские медицинские ИИ-сервисы
Ключевая роль во внедрении систем ИИ принадлежит содружеству практикующих врачей, ученых, инженеров, аналитиков, работающих в Центре диагностики и телемедицины Москвы. Реализация таких проектов проходит в соответствии с следующим алгоритмом:
Определение наиболее востребованных направлений применения ИИ.
Приглашение независимых разработчиков к участию в эксперименте (техническое здание к будущей системе ИИ публикуется на сайте).
Разработка и тестирование (разработчикам открыт доступ к 68 датасетам с изображениями с признаками конкретных заболеваний). Когда первая версия сервиса готова, начинается ее тестирование в лабораторных условиях под наблюдением врачей и команды Центра диагностики и телемедицины.
Информирование врачей о новом решении и его возможностях.
Работа сервисов на потоке реальных исследований пациентов.
Мониторинг параметров работы сервисов и обратная связь. Качество и точность работы ИИ контролирует группа, в состав которой входят эксперты Центра и практикующие врачи. Последнее слово остается за врачом-рентгенологом, который пишет заключение.
Доработка решений может длиться до нескольких месяцев, после чего ИИ-сервис снова направляют на тестирование сначала в лабораторных, а потом и в полевых условиях.
Доступ к решению для врачей по всей стране.
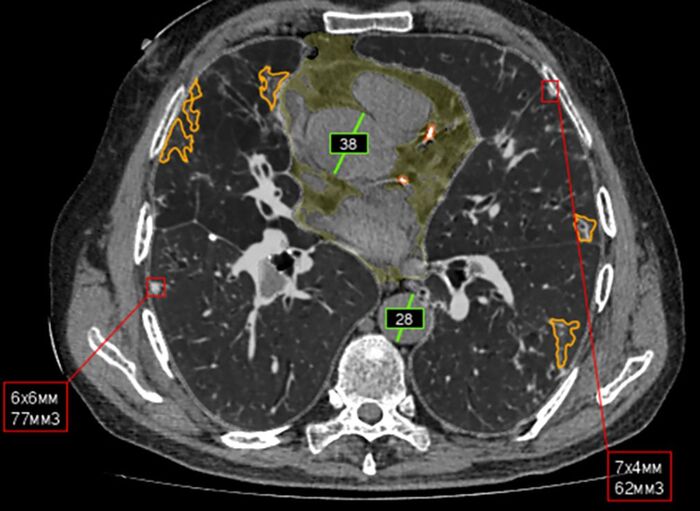
Начиная с 2020 года и по сегодняшний день этот путь прошли уже более 50 сервисов ИИ, которые могут найти признаки рака легкого, пневмонии, плоскостопия, рака молочной железы, инсульта, аневризмы аорты и других заболеваний.
Совсем недавно в Москве заработал новый ИИ-сервис для диагностики заболеваний головного мозга. На снимке КТ нейросеть способна находить признаки ишемического инсульта и кровоизлияний. ИИ может произвести все необходимые измерения за пару секунд, в то время как у врача это займет 2-3 минуты. А скорость в таких ситуациях критически важна и прямо влияет на результаты лечения и последующее качество жизни человека.
Планка требований к качеству разрабатываемых сервисов постоянно повышается. К примеру, в 2020 году ИИ по анализу КТ изображений органов грудной клетки мог определить только пневмонию. Сейчас сервис на аналогичном снимке находит до 12 патологий за раз.
Также существует публичная открытая оценка качества работы алгоритмов. С 2023 года качественные показатели работы ИИ-сервисов представлены в виде так называемой матрицы зрелости. По сути, это публичные ежеквартальные отчеты работы всех ИИ-решений, которыми сейчас пользуются рентгенологи.
Задал ChatGPT и аналогам НЕРЕШАЕМУЮ загадку! Chat gpt и аналоги, решат ли задачу?
Как ChatGPT и его аналоги решают Нобелевские задачи и отвечают на загадки в математике? Посмотреть на возможности нейросетей 😁
Сижу я такой в метро и думаю, а что если дать нейросетям не просто сложную загадку, а нерешаемую, которую человечество до сих пор не решило!
Буду тестить все модели включая самые новые chat gpt o1.
Интересно, потому что этож вроде железные мозги, мы с вами знаем, что они могут решить все)
Задача: Как известно, если плыть по воде на лодке, вокруг вас необратимо возникнут волны. А если лететь на самолете, в воздухе будут возникать турбулентные потоки. Оба явления уже описаны уравнениями Навье-Стокса. Суть загадки состоит в том, чтобы доказать, что решение данных уравнений существует и что оно является гладкой функцией.
↓
Эти нейросети мы будем использовать:
Как всегда, на тесты мы выводим следующие нейронки:
ChatGPT 3.5
ChatGPT 4, это действительно интересный бот.
ChatGPT 4o
ChatGPT 4o-mini
ChatGPT o1 (новый)
ChatGPT o1-mini (новый) - интересный бот для общения.
Yandex GPT (нейросеть от яндекса)
Gemini 1.5 (нейросеть от гугла)
Copilot (от мелкомягких)
↓
Поехали!
ChatGPT 3.5
Применил анлимитед промты, пока думает) Можете посмотрел решил ли по ссылке ниже.
https://chat.aiacademy.me/share/82df2637671727361474feb5 (может нобелевку получите)
↓
↓
↓
ChatGPT 4
Не решил, ставит обычные зашитые фразы, может кто-нибудь знает промт на обход в ai?
https://chat.aiacademy.me/share/857d26378417273617381767 (попробовать разговорить)
↓
↓
↓
ChatGPT 4o
Тоже самое к сожалению, сколько можно ждать правильный ответ?
https://chat.aiacademy.me/share/3073263792172736193354c8 (продолжить этот необщительный диалог)
↓
↓
↓
ChatGPT 4o-mini
Еще б чуть-чуть и все получилось)
https://chat.aiacademy.me/share/6a9a263808172736224765e0 (продолжить этот диалог)
↓
↓
↓
ChatGPT o1 (новый)
Все, можно получать нобелевку) 😅
https://chat.aiacademy.me/share/d09f2638261727362900d2b0 (продолжить, прочитать и получить нобелевку)
↓
↓
↓
ChatGPT o1-mini (новый)
А малютка не дала( Блин, звучит странно. Я так понимаю у OpenAI либо этих данных нет, либо это конфиденциальная инфа и если мы вами так просто ей завладеем, то гг
https://chat.aiacademy.me/share/056c26385017273631832d3b (продолжить диалог)
↓
↓
↓
Yandex GPT (нейросеть от яндекса)
Вот сейчас ураг будет, если самая глупенькая нейронка решит эту загадку) )))))) )))
Увы, нет) Ну значит нобелевка в другой раз
↓
↓
↓
Gemini 1.5 (нейросеть от гугла)
Из вопроса получилась разборка с ai 😂
https://chat.aiacademy.me/share/b22f26387417273636605433 (можете почитать и вмешаться)
↓
↓
↓
Copilot (от мелкомягких)
Опять объясняет про вознаграждение, дал ссылку на вики, похвально)
↓
↓
Итого:
Ребят, решила одна нейросеть - Chat gpt o1, это которая новая и решает сложные математические задачи)
А что вы думаете на счет этой задачи, как она вам?)
Пока!
Искусственный интеллект научился писать музыкальные треки
Искусственный интеллект писать музыкальные трэки? и довольно неплохо!
Теперь алгоритмы способны не просто подражать музыке, но и создавать оригинальные композиции в разных жанрах. Благодаря ИИ, любой человек, даже без музыкального опыта, может генерировать мелодии, создавать аранжировки и продюсировать треки. Это открывает новые возможности для музыкантов и продюсеров, делая процесс творчества более быстрым и доступным. Искусственный интеллект меняет правила игры в мире музыки!
Есть несколько нейросетей, которые пишут музыку, но на мой взгляд, на сегодняшний день самая продвинутая нейросеть это Suno. Это современная музыкальная платформа, которая использует искусственный интеллект для создания уникальных музыкальных композиций. Основанная в стремлении сделать процесс создания музыки более доступным и технологически продвинутым, Suno быстро завоевала популярность среди музыкантов, продюсеров и любителей музыки.
Сервис качественно генерирует песни по текстовому запросу. При фоновом прослушивании их сложно отличить от созданных людьми. Suno AI пишет музыку и слова, в том числе на русском языке
Творить шедевры с Suno могут только пользователи, зарегистрированные в ней через Google, Discord или Microsoft. Сервис работает в России без ограничений.
Suno доступно три тарифных плана:
Basic Plan (бесплатный)
* пополнение на 50 кредитов каждый день (10 треков);
* только некоммерческое использование;
* нельзя покупать кредиты;
* общая очередь на генерацию;
* создание двух треков одновременно.
Pro Plan (10 долларов в месяц):
* 2500 кредитов каждый месяц (500 треков);
* можно использовать в коммерческих проектах;
* можно докупать кредиты;
* приоритетное место в очереди;
* создание десяти треков одновременно.
Premier Plan (30 долларов в месяц):
* 10 000 кредитов каждый месяц (2000 треков);
* все возможности тарифа Pro Plan.
-
Для Пикабу лайфхак как "бесплатно" получить Pro Plan
Как получить Suno Ai Pro на 1 месяц?
2. Войди на сайт через Google
3. Перейди в тарифы.
4. Кликай: Pro Plan » Subscribe
5. Введи промокод: NICK100 - нажми "применить"
6. Теперь нужно ввести карту и адрес. Можете попробовать ввести свою карту или попытаться "придумать/додумать/найти" подходящую. Списываются оттуда ничего не будет. (я регистрировал карту с нулевым балансом) - нажать "Подписаться"
7. Готово, заверши оформление.
Подписка/кредиты закончились? Регистрируй новый аккаунт на другой Google и активируй снова подписку Pro на 1 месяц и так пока не надоест или не закончатся аккаунты в Google, или не истечет промокод.
В заключение несколько моих работ:
-
Всем бобра!
ИЩУ АВТОРА КАНАЛА В ИНСТАГРАМ
попалось это видео в инстаграме, сохранил на телефон но ни лайк не поставил ни название канала не запомнил, ищу автора который создаёт такие шизофренические видео с помощью искусственного интеллекта











