Сообщество - Все о медицине

Все о медицине

13 953 поста 41 601 подписчик

Популярные теги в сообществе:

327

Ответ на пост «Стерилизация в 35 лет без детей: моя маленькая победа (очень-очень длиннопост)»4

Читаю и зависаю. Охренеть, как велик процент дикарей.

Одни увидели у ТС избыток злобы и желчи. Вот ХЗ, где по тексту нашли.

Другие прямо вот сожрать готовы за откровенное признание в нелюбви к детям.

Отдельно, конечно, доставили моралисты, которые принялись попрекать избыточной любовью к сексу. Как ни банально, но последнее больше всего похоже на зависть. Нет, правда, комментаторы последней группы: мне откровенно вас жаль, если у вас с этим самым так все грустно. Сходили бы что ли к врачу)

ТС, поздравляю!

Ответ на пост «Стерилизация в 35 лет без детей: моя маленькая победа (очень-очень длиннопост)»4

Я ненавижу детей. Это стало понятно довольно рано, наверное, в подростковом возрасте.

Супер логика, в подростковом возрасте понять что не любишь других детей. Открою тебе секрет, скорее всего большинство детей не любит других детей, тем более совсем маленьких и орущих.

Они никогда не вызывали у меня умиления или чего-то похожего. Только раздражение и злость.

Все верно - это чужие дети, закон природы так сказать. Я тоже не в восторге от чужих детей, особенно когда не умеют себя вести. скажу больше, даже свои порой знатно могут выбесить. Но все этоне важно, когда видиim успехи своего ребенка, слезы, смех, радость - поверь, как бы они не бесили, но оно того стоит.

Слишком много шума, бессмысленных телодвижений, тупых вопросов, ну и всего того, что им присуще.

Без всего этого гдеи кем мы до сих пор были. Это как бесится от того что приходится каждый день какать, тоже не особо приятно, но вроде как нужно.

В целом, принимать такие решения и идти на такой шаг нужно очень обдуманно. особенно если назад уже не вернуть. Возможно пройдет 5-10 лет и все переосмыслиться, обычно это происходит когда человек повзрослел.

Хотя некоторым лучше действительно не иметь детей.

Показать полностью
434
Все о медицине
Серия Для общего развития по хирургии

Лирика о болезни Крона

А поговорим-ка про болезнь Крона. Разольемся, так скажем, мысью по древу и вспомним классику.

Не, всё же не эту лирику.

Я уже упоминал, что ВЗК лечат гастроэнтерологи и колопроктологи (совместно).

Но пациент с легкой атакой - замечательный кандидат на терапевтическое лечение. Даем таблетки, вводим глюкокортикостероиды, капаем биологическую терапию, и пациент поправляется, а стриктуры расширяются. Скорее всего (нет). А если нет, то позовем колопроктолога, а то скучает же он...

У колопроктолога же взгляд на болезнь Крона, особенно на стриктуры, отличается: есть сужение - надо расширить или отрезать. Потому что рубец не умеет растягиваться. И вероятность осложнений невысока на фоне ремиссии.

Но всё меняется, если у пациента серьезное обострение, когда всё воспалено, нагнаивается и рассыпается. Тогда больной превращается в горячую картошку, которую перебрасывают между отделениями по принципу "кто последний, тот и папа лечит".

Шли годы, но парадигма не изменялась - сначала терапия лечит и профилактирует, а потом хирургия и патанатомия исправляет недоработки коллег.

Наверное, кому-то из группы дивертикулезников пришла в голову отличная идея - применить аналогичный подход, но в другой локализации (про дивертикулез позже).

Следите за руками. В идеальной трубке, если она равномерно повреждена изнутри (то есть воспалена из-за болезни Крона), содержимое (кал) будет оказывать равномерное разрушающее воздействие на все стенки, но минимально. Логично. Теперь добавим немного перистальтики, бессердечной суки гравитации и, самое главное, естественных клапанов... То есть илеоцекальный угол с его Баугиниевой заслонкой. И в первую очередь начинает страдать именно этот клапан и часть трубки перед ним. Получаем классическую форму болезни Крона!

Хм... а если поправить геометрию трубки и выправить воздействие? Именно так и появилась идея провести исследование.

Берем пациентов с болезнью Крона и поражением илеоцекального угла (кстати, это примерно где аппендикс, справа внизу, над костью; спокойного сна, попробуйте теперь не думать об этом), лечим их нормально, с преднизолоном, а когда он перестает помогать, рандомизируем. Одной группе мы отрежем хвост часть кишки, причем непременно лапароскопически, а второй дадим биологическую терапию. Ну и сравним результаты.

Поэтому голландцы в 2017 году провели LIR!C Study (DOI 10.1016/S2468-1253(17)30248-0). У них было 29 больниц, нормальная рандомизация, разные опросники, и целое море пациентов с проваленной терапией ГКС и локализованной формой болезни Крона. Не то, чтобы всё это было категорически необходимо для отличной публикации, но если уж начал исследовать, то к делу надо подходить серьёзно.

Команда исследователей

Команда исследователей

Получилось отлично! Ни один терапевт не сможет придраться. Результаты показали, что вполне можно не травить пациента биологической терапией с неясным исходом, а отрезать больную часть кишки, сшить её и потом вывести на нормальную ремиссию. Да еще и дешевле выходит. И хороший косметический эффект. Лапароскопия рулит! И без илеостомы.

Позже вышли дополнительные анализы отдаленных результатов, которые только подтвердили успехи оперативного лечения.

Почему эта методика хороша для России?

Биологическая терапия у нас доступна, но либо при инвалидности, либо за деньги (большие деньги). А вот хирургия - чистый термояд ОМС или ВТМП-ОМС. Да, конечно, есть сложности в малых городах, но там в принципе пациенты с болезнью Крона зачастую не выживают, или им прямо говорят некоторые гастроэнтерологи "мы не знаем, как это лечить, езжайте в областной центр" (цитата). Хирурги же сталкиваются с экстренными осложнениями и спасают как могут (правда, могли бы и лучше, если бы знали некоторые особенности таких пациентов).

Почему же эта методика не снискала популярности в России?

Вечный спор между хирургами и терапевтами. "Вот вам таблетки, само отвалится". Да и врачей, которые специализируются на болезни Крона, намного меньше, чем общенаправленных. Поэтому только в крупных и заинтересованных медицинских центрах есть хорошее взаимодействие и своевременная передача таких пациентов из отделения в отделение.

Вторая причина - клинические исследования. По заказу какой-нибудь фирмы проводим испытания нового супер препарата типа хренваманеденьгимаб, а им нужны как раз такие хирургические пациенты, но для биологической терапии. При этом фирма зачастую платит вознаграждение за каждого больного, и нет такого преступления, на которое не пойдет терапевт, пытаясь спрятать своего подопечного от загребущих лап хирурга в надежде получить до 200 долларов за тело. Сейчас, впрочем, меньше, это так иностранцы платили.

Экстраполяция

Основное показание к хирургии - стриктура (сужение), в частности, Баугиниевой заслонки. Если она сформировалась, но еще пропускает кишечное содержимое, можно задуматься об операции. Даже если не было преднизолона. Увы, статью не представлю, но опыт Сеченовского университета в этом плане позитивен. То есть мы не доходим до категоричного "Православие или смерть" "Биология или хирургия", а персонализированно выбираем пациентов на операцию. Очень избирательно и персонализированно. Потому что пациенту нужно помочь, не навредив.

Вывод

Хирургия при болезни Крона тоже может быть средством профилактики и разумной альтернативой биологической терапии. Не надо бояться хирургов. Хирургам тоже страшно, потому что болезнь Крона - это мощная бомба без таймера, которая может рвануть в любой момент.

Вот, собственно, кратенько про Лирик Стади.

Я работаю врачом-колопроктологом/хирургом/онкологом в Москве.

Контакты для связи 6869016@mail.ru и телеграм (не канал) @drkitsenko На онлайн вопросы отвечаю бесплатно, то есть даром.

А если глаза б ваши это не видели, есть кнопочка "Игнор".

Показать полностью 4
14

Врачи больницы Вересаева удалили пациентке зоб размером с крупное яблоко

Женщина 82 лет поступила в ГКБ имени Вересаева в Москве с высоким давлением, одышкой и головокружением. Шея пациентки была сильно деформирована из-за увеличенной щитовидной железы - размером с крупное яблоко.

Женщина рассказала, что зоб был обнаружен более 30 лет назад, и все это время продолжал расти. Ей неоднократно предлагали провести операцию, и каждый раз она отказывалась.

В обозримом будущем доброкачественное образование могло угрожать жизни женщины. Уже на момент госпитализации она не могла нормально дышать и есть - зоб сдавливал пищевод и трахею. Кроме того, гипертрофированная щитовидная железа вырабатывала избыточное количество гормонов.

На момент госпитализации у пациентки были все показания к удалению щитовидной железы. Ей неоднократно предлагали провести операцию, начиная с девяностых годов, и каждый раз она по разным причинам, в том числе из-за страха осложнений, отказывалась.

Исследования, которые выполнили врачи больницы Вересаева подтвердили, что трахея смещена. В итоге им удалось убедить женщину в необходимости операции.

"Щитовидная железа плотно срослась с трахеей и деформировала ее. Кроме того, имелась угроза повреждения возвратного нерва, проходящего между трахеей и щитовидной железой к голосовым связкам – в таком случае человек может лишиться голоса. Также существовал высокий риск кровотечения, поскольку щитовидная железа – самый кровоснабжаемый орган в организме человека. Однако команда специалистов успешно справилась с задачей", - рассказал врач-хирург Сергей Бильченко.

Операцию 82-летняя пациентка перенесла хорошо и уже спустя двое суток ее выписали из стационара с подробными рекомендациями, в том числе от эндокринологов.

Показать полностью
37

О состоянии пациентов в реанимации будут сообщать родственникам через смс

Пилотный проект запустили 6 июня в каждом из восьми отделений реанимации «Коммунарки».

О состоянии пациентов в реанимации будут сообщать родственникам через смс

Члену семьи больного, находящегося в реанимации, ежедневно будет приходить СМС. Оно будет содержать несколько важных параметров о состоянии здоровья человека. К примеру, находится ли пациент в сознании, дышит сам или с помощью ИВЛ, и самое главное — четкие выводы о том, какая динамика.

В дальнейшем планируется расширить эту систему на другие клиники.

Показать полностью 1
22

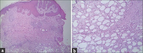
Укус паука, вызвавший некроз

Паукообразные - это многочисленный класс членистоногих, которые обитают по всей Земле. Лишь небольшое число из 46 000 видов пауков могут вызывать серьезные отравления, включая локальный некроз. Локсосцелизм - это отравление, вызванное укусом пауков рода Loxosceles (семейство Sicariidae), также известных как пауки-отшельники. Он может проявляться как в кожной, так и во внутрикожной форме. Согласно последнему обновленному списку, Loxosceles rufescens - единственный вид, описанный в Индии.

45-летняя женщина из Колхапура, штат Махараштра, обратилась с жалобой на зудящее, болезненное некротическое поражение в области левого паха, вызванное укусами насекомых в анамнезе 1 месяц назад. Сначала в течение 2 дней у нее наблюдалась легкая лихорадка, зуд и покраснение, но позже в центре появилась область с почерневшим налетом. Пациентке был назначен курс пероральных антибиотиков и стероидов в течение 15 дней без какого-либо улучшения. В дальнейшем поражение прогрессировало, образовав болезненную некротическую язву. При осмотре была обнаружена болезненная, сочащаяся, неправильной формы язва размером 5 × 6 см с черной некротизированной тканью в центре и расширяющейся фиолетовой каймой и желтоватым налетом у основания. 

Паховой лимфаденопатии не было. Исследования показали увеличение количества тромбоцитов до 587,0 × 103/мкл, СОЭ 30 мм/ч, функции печени и почек были в норме. Окрашивание по Граму показало интенсивный рост кишечной палочки. Гистопатологическое исследование выявило псевдоэпителиоматозную гиперплазию и спонгиоз. В утолщенной папиллярной дерме, в средней и глубокой ретикулярной дерме вокруг глубокого и периаднексального сплетений было обнаружено увеличенное количество толстостенных капилляров в виде скоплений. Вокруг этих сосудов также имелся умеренно плотный точечный узелковый инфильтрат лимфоцитов и нейтрофилов. На части дермы наблюдался некроз. В подкожно-жировой клетчатке наблюдался некроз жировой ткани с многочисленными крупными гистиоцитами, включая жировые дольки. Эти насыщенные липидами пенистые макрофаги сопровождались жировыми макроцистами.

Учитывая гистопатологическое исследование и наличие в анамнезе укуса неизвестного насекомого, приведшего к дермонекрозу, можно предположить, что локсосцелизм кожи был вызван укусом паука. После хирургической обработки язвы пациентку лечили пероральными местными антибиотиками, а также ежедневно накладывали повязки в течении 1,5 месяцев с полным заживлением .

Пауки отшельники - это сидячие пауки-одиночки, которые обычно плетут паутину неправильной формы в защищенных местах. Они часто остаются в помещении и прячутся в сухих и темных местах. Из-за склонности паука вести ночной образ жизни, укусы обычно происходят ночью, в основном на бедрах, туловище и руках, и в ситуациях, когда паук придавлен к телу пациента, как правило, когда пациент одевается или спит, что характерно для нашего случая. Тяжесть реакции также зависит от количества введенного яда. Некротизирующая активность яда связана с фосфолипазами D (ранее называвшимися сфингомиелиназами), которые вызывают активацию системы комплемента, полиморфноядерных клеток и тромбоцитов и тромбоз сосудов. Обычно требуется несколько дней, чтобы место укуса омертвело. Для полного заживления некоторых некротических повреждений требуется несколько месяцев. Острая гемолитическая анемия, диссеминированная внутрисосудистая коагулопатия, ангионевротический отек, рабдомиолиз, мионекроз, почечная недостаточность, кома и смерть являются редкими осложнениями локсосцелизма.

Роль специфических методов лечения спорна, поскольку большинство поражений заживают самопроизвольно. В случае обширных некротических язв после стабилизации состояния следует рассмотреть возможность пересадки кожи.

Чтобы повысить осведомленность об опасности заражения пауками с тяжелыми формами некроза кожи в Индии, мы освещаем этот конкретный случай.

Переведено и опубликовано: Кожный

Показать полностью 3
15

Ухудшение зрения после проверки глазного дна

Во вторник мне проверяли зрение в больничке, как написано — глазное дно.

Перед этим капнули атропин.

Сказали, что ухудшение временное, скоро пройдет.

Но почему-то не прошло.

Зрачки расширенные до' сих пор, очень плохо вижу вообще.

Сейчас пишу почти "на ощупь", угадывая буквы на экране телефона.

Вопрос: кто виноват — понятно, а что' делать-то? :)

Кто-то сталкивался тоже?

80
Все о медицине
Серия Видео

Кратко о стоматологии. Видео 27. Как снимают слепки с имплантов методом закрытой ложки?

Так как озвучку и субтитры сделал я, то ставлю тег "моё"

Источник: AlphaBio

Если вы тут недавно, то читайте Сагу о стоматологии, уверен, много нового для себя узнаете.

Сага о стоматологии

Если есть какие-то вопросы, то смело задавайте в комментариях.

Обязательно подписываемся и ставим лайк!

Не надо обижаться, если я вас отсылаю к какой-то главе, так как вопросов становится много, а разжевывать каждому одно и тоже по несколько раз тяжело.

Если что-то персональное, то пишите в ЛС в телеграм https://t.me/vadbel1310, отвечу всем. Консультация БЕСПЛАТНАЯ, мне не жалко.

И ещё! Если что-то срочное, то звоните +79057685253(телеги на номере нет) в 8 до 22 по Москве. Если не отвечаю, то значит работаю, пишите в телегу.

Если вдруг кому удобнее читать всё это в телеграме, то у меня есть паблик https://t.me/vadbel1310public Там дублируются все посты. Там удобнее навигация по главам.

Так как, вас становится нереально много, то СРАЗУ ПО ДЕЛУ! Не надо всяких прелюдий, а можно вопрос, удобно ли вам? и т.д. Пишем по пунктам.

Здравствуйте,

  • меня зовут ....,

  • я с Пикабу… или откуда-то ещё.

  • Из такого-то города\региона ( это важно чтобы смог сразу найти того, к кому можно будет вас направить, если что).

Задаем вопрос.

Если вопрос связан с заболеванием, то заполняем форму

  • Жалобы: что болит, когда выпало, когда появилось… и т.д.

  • История болезни: когда началось, где и когда пробовали лечить, когда удалили зуб и т.д. Соблюдаем хронологию. Стараемся рассказывать покороче.

  • Какие сопутствующие патологии: обмен веществ, инфекционные заболевания, какие препараты принимаем

  • Если возможно, то присылаем фотографию на телефон.

  • Кидаем снимки, если есть.

  • Если есть КТ, то кидаем на почту vadbel1310kt@yandex.ru В теме письма указываем ваш никнейм телеграме, чтобы я мог понять кто это прислал, посмотреть и ответить.

  • Что бы вы хотели получить от консультации? Совет? Направление? Лечение?

Пишите, пожалуйста, текстом, так как мне проще читать. Отвечать буду голосовыми, так как строчить ответ десяткам людей в день достаточно тяжело. Без обид, я стараюсь помочь всем.

Если хотите приехать на консультацию, то пишите в Телеграм. Если что работаю только в одном месте. Территориально станция метро Филевский парк! На то, что написано в поисковиках не смотрим!

Если не отвечаю, то могу быть загружен, позже напишу. Если вдруг забыл про вас, не стесняемся, через день-другой напоминаем. Живу в очень интенсивном ритме.

И не забываем вступать в Лигу плохих зубов!

Лига плохих зубов

Показать полностью
Отличная работа, все прочитано!