Сообщество - Все о медицине

Все о медицине

13 949 постов 41 603 подписчика

Популярные теги в сообществе:

85

Ответ на пост «Медицинский анекдот»2

Идет леция по микробиологии в мединституте. Профессор вещает с кафедры:

— Нормальными обитателями женского влагалища являются лактобактерии, бифидобактерии...

Голос студента с задних рядов:

— Ну ты посмотри, а! Не пизда, а прям баночка из-под йогурта!

23

Ответ на пост «Медицинский анекдот»2

Идет экзамен по анатомии. Профессор показывает скелет и спрашивает студента:

П: - Что Вы можете рассказать про данный скелет?

С: - Ну это черепная коробка, здесь был мозг. Это грудная клетка, под ним было сердце, внутренние органы. Вот тазовая кость, тут был хуй.

П: - Не был, а бывал, молодой человек... это скелет женщины!

Роман Трахтенберг.

6

В Китае открыли способность ванилина бороться с ожирением и дисбактериозом

Всем известно, что ванилин - ароматическая пищевая добавка, постоянно присутствующая на полках магазинов и стоящая копейки. Поэтому довольно неожиданным оказалось открытие его лечебных свойств. Исследования были проведены тремя пекинскими учреждениями (Колледж пищевых наук и нутрициологии, Пекинская ключевая лаборатория виноградарства и энологии, Китайский сельскохозяйственный университет).

Итак, ванилин, простое фенольное соединение, содержится в незначительных количествах в некоторых растениях и может вырабатываться микробами. В этом исследовании использовались мыши с ожирением, индуцированным диетой с высоким содержанием жиров (HFD), для изучения влияния ванилина на ожирение и получения положительных результатов. Во-первых, снижается масса как тела, так и жировой ткани. Во-вторых, улучшаются свойства крови, сигнализирующие об определенных нарушениях, таких как АЛТ, ЛДГ, глюкоза, холестерин, ХС ЛПНП, ТГ и ХС ЛПВП, а также повышаются чувствительность к инсулину и толерантность к глюкозе. В-третьих, ванилин снижает повышенный уровень воспалительных факторов, включая липополисахариды, интерлейкин-6 и фактор некроза опухоли-альфа в плазме крови и тканях печени, вызванный ожирением. Наконец, он способствует выработке короткоцепочечных жирных кислот (КЦЖК). Кроме того, результаты исследования показывают, что ванилин значительно улучшает состояние микробиоты кишечника (ММК), связанное с ожирением, в том числе снижает альфа- и бета-разнообразие. Кроме того, ванилин снижает численность бактерий типа Firmicutes, увеличивает разнообразие бактерий типа Bacteroidetes и Verrucomicrobiota, а также препятствует размножению бактерий, продуцирующих липополисахариды (ЛПС) Bilophila, и бактерий, продуцирующих H2S Desulfovibrio.

___________________________________________________________________________________________________

Близкий по теме материал - "Против каких видов рака и инфекций успешно борется чеснок":

https://www.litprichal.ru/work/548682/ ЗДЕСЬ

Показать полностью 2
174

Медицинский анекдот2

Лекция в медакадемии.

Лектор:

- Прежде чем начать нашу сегодняшнюю лекцию, я хочу рассказать вам историю из своей жизни.

- У меня был друг и мы вместе любили одну девушку. Но она выбрала его и я остался "с носом"...

- Ну а мой друг - без носа!

Итак, тема лекции: сифилис и его последствия!

31

Похмельный сюрприз

Вот уже какой год рассказываю: не сдавайте анализы после застолья или тусовки. Сами же испугаетесь увиденному. И врача напугаете!

Пришел помятый мужичок в прошлую среду, говорит «чек-апиться, буду. Пора». И рукой так по своей ноге аааааать.

Учитывая некоторые признаки вчерашнего увеселения, я порекомендовал ему потерпеть день-другой, но там был стоический тип, настоящий северянин: «Нечего ждать, надо дело делать. Пора!»

Ну, пора так пора. Сегодня утром вид уже совсем не такой боевой и духовитый: «а почему у меня печеночные ферменты высокие..?». И глаза такие: 🥹

Запомните: есть анализы, которые стоит сдавать на голодный желудок. Есть которые важно смотреть в определенный день цикла. А есть еще те, которые важно сдавать спустя хотя бы 2-3 дня после алкогольных увеселений: это АЛТ, АСТ, ГГТ, ЩФ.

Ну не любит наша печень и желчный алкоголь. Ну вот что с ними поделать.

503

Как я работал в поликлинике, часть 2

Первый пост вам вроде как зашел, а значит продолжению быть)

И сразу добью все происшествия с собаками, потому что они в памяти откладывались лучше всего.

Ближе всего к получению непредусмотренных заводом изготовителем отверстий я был когда сразу после того как я зашел в дом на меня бросилась мелкая собака, похожая на чихуа. Причем кинулась прицельно чтоб укусить. Но я был уже опытный, сумел закрыться портфелем и смачно дать её по башке пендаля, отчего псина забилась под лестницу и тяфкала уже оттуда.
"А он у нас на всех кидается, недавно на улице даже голову проломили" - спокойно сказала мне хозяйка.
- Так усыпите его нахрен! (на эмоциях сказал я)
- Нет, что вы, мы его любим!
По итогу пса куда - то забрали, ребенка я осмотрел.
На том же адресе, а это был частный дом - от ворот, где меня высаживали из машины, до крыльца нужно было идти мимо будки с огроменным псом, который активно на тебя кидался, мощно натягивая цепь с ошейником. Так как вариант того, что цепь или ошейник где нибудь порвутся был нихрена не нулевым, я пару раз брал хозяйскую, лопату которая стояла у забора и шел с ней мимо собаки.

Вообще адрес был веселым, там жили усыновленные дети с ментальными проблемами - например одну перемкнуло и она изрезала ножом одежду и мебель в доме (не при мне, другие врачи рассказывали)
Но мне посчастливилось несколько раз уйти оттуда целым)

Другой раз я пришел на адрес, где меня ждала женщина, ребенок и огроменная овчарка. Причем было видно, что собака нихрена не считает её хозяйкой. В итоге псинку заперли в комнате, и все то время, пока я осматривал ребенка, она ломилась в дверь...ну как будто огромный мужик. Прям вот бум-бум-бум. А сидели мы на кухне, и дверей там ВООБЩЕ не было, как студия. И я вот четко понимал, что если там дверка не выдержит - мне конкретно пиздец. Но вновь обошлось.

В прошлом посте я уже говорил, что все медсестры были покусаны и не раз. Мне одна голень показывала - там блин будто осколок доставали. Короче собаки это реальная проблема.

А вот котики - нет) Я с детства котов обожаю и поэтому на вызовах гладил всех кого мог. До сих пор где то есть фотки вызовных котов, типа этой

2020 год, ноябрь. Слева виден мой знаменитый портфель, с которым я отучился старшую школу, универ, прошел поликлинику, ординатуру и до сих пор хожу с ним на работу уже в больницу.

2020 год, ноябрь. Слева виден мой знаменитый портфель, с которым я отучился старшую школу, универ, прошел поликлинику, ординатуру и до сих пор хожу с ним на работу уже в больницу.

Самое милое наверное из всех фото)

Самое милое наверное из всех фото)

В той квартире жило 3 кота

В той квартире жило 3 кота

Извините, отвлекся)
А, и сразу хочу ответить на некоторые возмущенные комментарии из прошлого поста.

Я не отказывался отрабатывать целевое, более того - я его уже отработал. Просто университет я закончил свободным человеком так как поступил в него по биологической олимпиаде.

Там кстати тоже было смешно. Потому что олимпиада давала мне право поступить без конкурса только на педиатрию, а педиатрия она одновременно и сложнее лечебки и вроде как считается менее престижной. Мне было все равно, а вот маман у меня мандражировала. У нее бывают иногда завихрения. И во первых она меня заставила подать документы во все 5 ВУЗОВ - максимум, что можно было в те годы после ЕГЭ, а во вторых отксерокопировать ВСЕ мои грамоты за олимпиады с 8 класса, от русского медвежонка до химии и биологии за 11 класс. Получилась солидная котлета в палец толщиной, и мы всё это отправляли почтой. Косаря четыре она тогда потратила)))

Всё думаю - посчитали ли меня в приемных комиссиях долбоёбом или всем было пофиг?) А то я очень не люблю когда меня незаслуженно считают долбоёбом и стараюсь на опережение заслужить.

Так вот, универ я закончил и у меня было три пути - вебкам закладки и айти - 1) пойти сразу в поликлинику обычным слэйвом, 2) пойти в ординатуру, но там или по целевому или платно,
3) вернуться к родителям и сидеть у них на шее, подрабатывая курьером.

Так как с последним маман меня сразу в жопу послала, а учиться мне за 6 лет универа надоело до чертиков - я решил - а поработаю ка я год в поликлинике, а потом уже пойду в ординатуру.

Но как то утром я проснулся - как сейчас помню в 10 часов - и чисто по приколу решил позвонить в родной департамент насчет целевых. И внезапно там оказалось место да еще и без конкурса. И это был вообще последний день когда можно было его взять.
Вот так я и стал инфекционистом) И должен был после 2 лет обучения отработать 3 года.

И, возвращаясь так сказать к нашим баранам - возмущался я тому, что меня, в самом начале обучения, всего через 2 месяца, насильно запихнули в поликлинику, и я не знал на сколько. Меня вообще там могли года полтора продержать. И это время не шло в мою последующую отработку целевого!
А спрашивали бы с меня потом как с инфекциониста. И отсутствие обучения никаких прав на косяк мне не давало (доктор 007 с правом на убийство, ха-ха).

Короче было острое желание послать нескольких комментаторов нахуй, но я вспомнил Чистомена и чет зассал.

Так, на чем мы там остановились. На вызовах бывало по разному. Часто приходилось быть в старых бараках и общагах где в маленькой тёмной комнатке могли жить по 6 человек. Бывало осматривал ребенка, а рядом на диване дрых пьяный в утиль мужик, приходил и в цыганские дома, но там вроде без происшествий.

Я если честно вообще слабо представляю как там женщины и тем более девушки работают.
Спасает наверное только то, что большинство даже маргинально - криминальных элементов у нас к врачам относятся весьма уважительно. Но дебилов то тоже хватает. Короче если у вас у кого дорогие вам женщины ходят по вызовам...я бы посоветовал с этим завязывать. Там нехорошо бывает. Ну вот вся эта хрень у меня за 4 месяца случилась, и это далеко не всё.

На приемах интересного было меньше. Помню здорового 13 летнего подростка, с папой пришел, за справкой или что-то типа, короче без жалоб. Сердце слушаю - а там...это даже не аритмия была, а что-то вообще слабоописуемое. Сердце то замрет, то ускорится, шумы какие то непонятные, громкие. "Дирижер пьян, подумал Штирлиц". А парень вообще отлично себя чувствует! Короче отправил его на ЭКГ и к кардиологу, что по итогу - не знаю, перекинули на другой участок.

Два дня в неделю были дни здорового ребенка, когда мне приносили жертвенных младенцев на похвастаться, а я их хвалил за хорошие прибавки. Ну или не хвалил. Один раз принесли 6 месячного ребенка весом 16кг. Я был впечатлен. Оказалось по отцовской линии все такие.

Самое интересное что в дни здоровых детей пациентов было намного меньше, чем в другие, но уставал я как то сильнее - ритм работы был рваный. Особенно в четверг. Никого нет, вроде расслабился, читаешь что-то - пришли, опять в рабочий ритм входить.

По вызовам был рекорд 21 в день и потом еще прием. Вот тогда я чуть не сдох)


Короче я очень быстро понял что был недальновиден, когда хотел поработать в поликлинике аж год после универа. Ну и в итоге все получилось как получилось. В поликлинике я отработал 4 месяца, чего мне вот прям с головой хватило чтобы понять, что это место не для меня. Оно блин вообще не шибко для людей)

Да, в прошлом посте меня хвалили за отсутствие телеги - её нет и не будет, я слишком ленив для этого) Насчет онлифанса пока думаю.
Нейросетями тоже не пользуюсь и даже, о ужас, не умею этого делать.

Показать полностью 4
165

Введение спирта в прямую кишку как метод лечения бессонницы

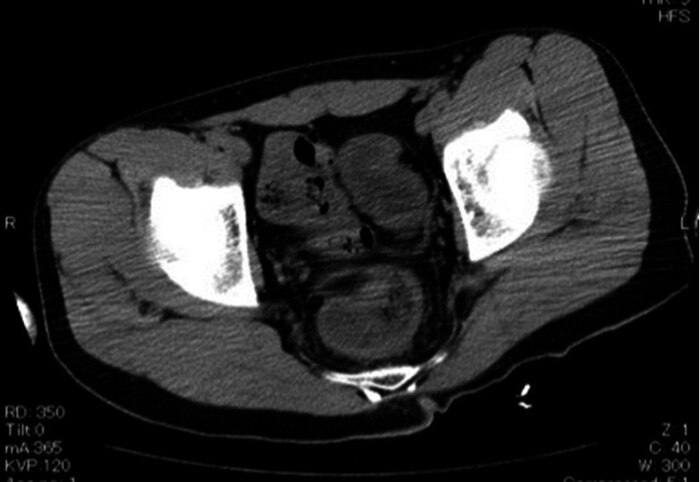
21-летний мужчина был найден лежащим на полу в ванной своего дома. Семья вызвала скорую помощь и доставила его в нашу больницу. По прибытию у него было нарушено сознание, по шкале комы Глазго 6 баллов (реакция зрачков, вербальная и двигательная реакции: E2V1M3), пульс 101 удар в минуту, артериальное давление 118/66 мм рт. ст., частота дыхания 18 вдохов в минуту, температура тела 35,5 °C. На нижней части его тела не было одежды, а из заднего прохода выделилось небольшое количество мелены. Анализы крови показали повышенный уровень лейкоцитов (23 900/мкл) и гемоглобина (Hb) (17,5 г/дл). Результаты анализа газов крови были следующими: pH 7,299, бикарбонат (HCO3−) 19,9 ммоль/л, избыток оснований (BE) −6,0 ммоль/л и лактат 5,4 ммоль, что указывает на метаболический ацидоз и гиперлактацидемию. Результат скрининга на наркотические вещества был отрицательным. Компьютерная томография головного мозга не выявила внутричерепных кровоизлияний. КТ брюшной полости и таза без контрастного усиления выявила утолщение стенки от восходящей ободочной кишки до прямой кишки Фото 1.

Figure 1. Утолщение стенок сигмовидной и прямой кишки.

Figure 1. Утолщение стенок сигмовидной и прямой кишки.

Развитие событий после госпитализации: пока мы готовились к дальнейшим исследованиям в отделении интенсивной терапии, чтобы определить причину нарушения сознания (например, острое отравление веществом, которое не удалось выявить с помощью тестов, или постиктальное нарушение), уровень его сознания постепенно улучшился и пациент сообщил, что с помощью ручного сифонного насоса ввёл себе в анус 1,8 л белого дистиллированного спирта (35% алкоголя). Таким образом, причиной нарушения сознания было острое алкогольное отравление алкоголем, введённым ректально. Поскольку в нашей больнице не было возможности измерить уровень алкоголя в крови, мы не могли точно диагностировать причину нарушения сознания. Для изучения отёчных изменений, распространившихся от толстой кишки до прямой кишки, на компьютерной томографии брюшной полости, предположительно вызванных химическим проктоколитом, вызванным алкоголем Фото 2 была проведена эндоскопия нижних отделов пищеварительного тракта.

Figure 2. Эндоскопический снимок слизистой оболочки поперечной ободочной кишки, демонстрирующий диффузное покраснение, эрозию, язву и кровотечение.

Figure 2. Эндоскопический снимок слизистой оболочки поперечной ободочной кишки, демонстрирующий диффузное покраснение, эрозию, язву и кровотечение.

От восходящей ободочной кишки до прямой кишки были обнаружены диффузное кровотечение, отёк слизистой оболочки, язва и подслизистое кровотечение. На слизистой оболочке подвздошной кишки не было повреждений. После чего преднизолон (60 мг) был введён ректально. Несмотря на то, что повышение уровня молочной кислоты сразу же снизилось после инфузионной терапии и, как предполагалось, было вызвано обезвоживанием, а не некрозом кишечника. Пациенту было назначено консервативное лечение в соответствии со стандартной терапией ишемического колита (инфузионная терапия с голоданием). На второй день болезни мелена исчезла. Эндоскопия нижних отделов пищеварительного тракта на седьмой день болезни показала уменьшение воспаления, поэтому пациента перевели на пероральную диету. Повторного появления мелены не было и пациент был выписан на девятый день. За ним наблюдал врач из соседнего города, который не отметил отсроченных осложнений, таких как стеноз кишечника, в течение двух месяцев наблюдения. Во время госпитализации пациента спросили, почему он вводил алкоголь ректально. Он ответил, что страдал от бессонницы из-за сильного беспокойства, когда готовился к вступительным экзаменам в университет, и узнал в интернете, что можно вводить алкоголь ректально с помощью сифонной помпы, чтобы быстро заснуть.

Перевёл и опубликовал: Немедицина

+выводы авторов к статье тут: https://t.me/ybody/927

Показать полностью 2
13

Про нашу Калининградскую медицину - часть 2

Не успели мы отойти от 1 случая, когда дочь упала с дерева…

Как решила моя любимая супруга сделать себе какой-то там коктейль с псиллиумом.

🤦‍♂️  И залила в шейкер кипяток, закрыла и начала встряхивать.

Хоть она и держала клапан, его вырвало и струя липкого кипятка ударила ей прямо в лицо, а заодно заляпало всю кухню.

Все это я узнал, когда прибежал на истеричные крики - Саша, мне нужна помощь, срочно 🚨

Жена в панике, начинает мазаться каким то кремом. Я начинаю гуглить первую помощь по ожогам лица. Там пишут что надо под струю холодной воды.

Уговариваю ее залезть в ванную и холодным душем на лицо. Ее и так трясет от паники, а тут ещё и от холода.

📌 В итоге жена звонит в скорую и рассказывает всю ситуацию, вызов принят, ждём.

🚑 Скорая приезжает минут через 20. Молодой парень вкалывает обезбол, успокаивает, накладывает повязку, что-то там колдует в планшете.

И говорит - поехали в центральную городскую больницу на Летней. Мне предложили поедать с ними. Но я решил на своей.

И единственный «косяк» - что я выехал через 5 минут, а приехал в больницу на 5 минут раньше скорой. Ну мы над этим просто пошутили. Вы нашей ситуации лететь с сиренами было лишним.

В больничке все было вежливо. Везде все чисто и аккуратно.

На входе заполнили бумажки. Супругу приняла женщина-врач. Осмотрели - оказалось что все не так страшно, 99,99% что у вас все заживет без следа.

Так оно потом и оказалось.

В общем все закончилось хорошо.


Пишу про Калининград в VK – ТУТ, в Телеграм – ТУТ, или можно просто забить в поиск "Агиевич про Калининград".

Написать мне в личку – ЗДЕСЬ.

Показать полностью
Отличная работа, все прочитано!